Invisalign & Clear Aligners
Ferntree Gully
Your discreet teeth straightening options at ARIA Dental
If you’ve been thinking about straightening your teeth but aren’t keen on traditional braces, clear aligners could be the ideal solution. At ARIA Dental, we offer both Invisalign and Angel Aligners from our Ferntree Gully dental studio.
Whether you’re an adult or a teen looking for a subtle way to straighten your teeth, our warm and friendly dental team can help you find the clear aligner system that suits you best. No wires. No brackets. Just trusted systems that will gently guide your teeth into place.
Schedule your Invisalign consultation in Ferntree Gully today.
What can clear Aligners treat?
If your teeth are mildly to moderately misaligned, you may be a great candidate for Invisalign treatment at our dental practice. They’re also commonly used to address:
Mild to moderate crowding
Gaps between teeth
Overbite, underbite, or crossbite
Open bite
Any relapses from previous orthodontic treatments to address teeth that have shifted
Your teeth straightening treatment options
in Ferntree Gully
Thanks to modern dental tech, teeth straightening in Ferntree Gully is now easier, more comfortable, and much less noticeable than it used to be.
We offer two options
Invisalign is one of the most trusted names in teeth straightening. Known for its advanced technology and proven results, Invisalign is ideal for treating everything from minor crowding to more complex bite issues. At ARIA Dental, we create your custom Invisalign plan using 3D digital scans, so you can even preview your future smile before treatment begins.
We also offer Angel Aligners, another clear aligner system known for its comfort and flexibility. Our team will walk you through the differences during your consultation and help you choose the best option for your goals, timeline, and lifestyle.
Get In Touch
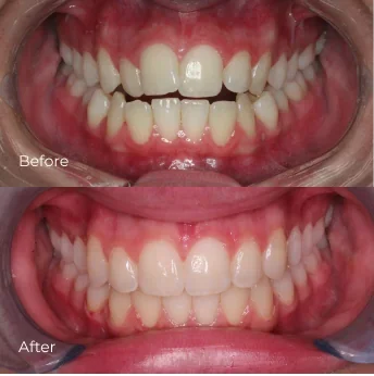
Transformative Invisalign treatment
Invisalign can transform your smile with clear, comfortable aligners—no metal brackets or wires needed. Explore our before and after gallery to see how Invisalign has straightened real smiles discreetly and effectively.
-
How Clear Aligners Work
Clear aligners use a series of thin, custom-made plastic trays to gradually shift your teeth into better alignment. You wear each set for about two weeks, then switch to the next, progressing step by step toward your ideal smile.
The length of your Invisalign treatment depends on your individual case, but most patients start seeing changes within weeks, with full results in 6 to 18 months. Because aligners are removable, treatment success also depends on how consistently you’ll wear them (ideally you’ll need to have them in 20–22 hours per day).
-
Why choose clear aligners over traditional braces?
Traditional braces can be highly effective, especially for more complex orthodontic cases. But for many teens and adults with mild to moderate alignment concerns, clear aligners offer a more flexible, low-maintenance option that fits easily into daily life.
Unlike traditional metal braces, clear aligners are:
Virtually invisible
Removable for eating and brushing
Smooth and comfortable to wear
Easy to clean and maintain
With all their benefits, it’s easy to see why clear aligners are a popular alternative to traditional metal braces for both teens and adults.
However, there are a few things to keep in mind if you’re considering Invisalign clear aligners. For one, because they’re removable, they rely on discipline to see results. Secondly, they’re also not ideal for more complex alignment issues, where traditional braces may still be the more effective option.
-
Are you a candidate for Invisalign?
If your teeth are mildly to moderately misaligned, you may be a great candidate for Invisalign clear aligners. The best way to know for sure? Book a consultation with our team: we’ll assess your smile and talk you through the options that will work best for your goals.
We’re taking Invisalign consultations today
There’s no better time than now to talk to us. If straighter teeth have been on your mind, schedule a consultation for Invisalign treatment in Ferntree Gully. Whether you’re ready to get started or curious about the process, we’re here to guide you through the process with clear advice and thoughtful care.
Call us now to schedule a time to visit us.
